这种吃人脑的虫子,就活在公园的池塘里

分享到:

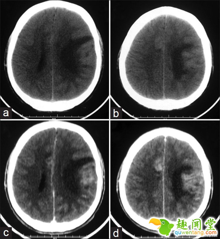
阿米巴原虫感染。

这是种凶险的寄生虫感染,患病者十无九存。在中国最新的病例,来自一位深圳的患者。他的发病史也非常典型:在野外水域游泳→寄生虫入侵→出现类似感冒的初期症状→加重,历经辗转终于确诊→救治无效,过世。

前后仅仅两周左右,在医生的救治手段还来不及展开之前,阿米巴原虫所造成的感染就足以致命。

这究竟是一种怎样的寄生虫,病程发展之快和凶残的致死性,连现代医学都束手无策?

undefined

首先,在生物学上,阿米巴原虫是一个极大的分类,其中的绝大多数种类对人体没有危害,甚至可以在肠道中与人类共生。只有少数几种可能致病,而最为凶险的,是其中耐格里属和棘阿米巴属的这两种分类。

undefined

它们才是引发致死脑膜炎的罪魁祸首。

这种看不见的威胁热爱温暖的水域,甚至能在45°C的温泉中繁殖。当它们感受到生存?;?,则会形成包囊,进入休眠状态,并在51~65℃的水中生存8个月,在-20℃的环境里生存4个月以上。

undefined

它们无处不在,存活于游泳池、湖水、瓶装矿泉水、海水、热水浴盆、污水、土壤、家畜粪便甚至空气中,一旦环境适宜,便破囊而出。

undefined

甚至是往水中充入浓度偏低的氯也无法杀灭它们。15年8月,美国路易斯安那州的自来水供应系统因为氯含量偏低,被发现存在耐格里属阿米巴原虫,直接导致一个4岁男孩在游泳池中游泳后感染食脑虫身亡。

undefined

其他病例也都有游泳史,区别只在于,他们是在不清洁的野外水域游泳。在这类温暖潮湿的野外环境中,感染的风险更是大大提高。因为寄生虫致病的罕见性,应该有相当的病例发生后未被发现并上报。

undefined

当带有原虫的脏水进入鼻子后,它们会先从鼻腔穿过鼻黏膜,沿着嗅神经钻入人脑,到达含有脑脊液的亚蛛网膜空间后进行增生,并由此扩散而入侵中枢神经系统。

undefined

(前方高能重口预警,这不是演习!)

(前方高能重口预警,这不是演习!)

(前方高能重口预警,这不是演习!)

到达大脑以后,原虫就要开始作妖了。

undefined

说是食脑虫,但其实阿米巴原虫并不以人脑为食。它们的存在本身,在大脑内引发了严重出血和脓肿,并造成脑内水肿,颅压上升,最终导致脑神经瘫痪。这才是令患者致死的真正原因。

undefined

表现在患者身上,那就是一开始仅有头痛发烧、恶心呕吐等小症状。不幸的是,大部分感染者都会以为这只是小感冒。但病程发展之迅速让人猝不及防。有一部分患者发病三五天之内,就会丧失平衡感、癫痫发作以及出现幻觉——这代表大脑的机能已经遭到了破坏。在大多数情况下,已无回天之力。

undefined

在少数的病例中,它们也会感染眼角膜,引起阿米巴角膜炎,会造成视力减退和失明。所以让脏水进入眼睛也是非常非常非常危险的。(图片打个薄码,以免吓到花花草草……重口爱好者可以自行度娘之)

undefined

那么,对这种原虫引发的病有没有比较好的治疗手段呢?

遗憾的是,至今并没有。

1875年,Feder Losch首次在人体中发现这种寄生虫引起的疾病,但有效的治疗手段一直没能研制出来。

undefined

1986年,美国疾病控制中心估计,全世界人口中至少有10%的人感染了溶组织内阿米巴(也就是阿米巴原虫引起的各种感染,包括但不限于上文提到的阿米巴脑膜炎和角膜炎,肠炎和痢疾通??梢灾斡?,其中有4万~11万人死于该病。

虽然致死率是如此之高,但比较让人欣慰的是:只要预防得当,在清洁的水里游泳,不让未经消毒的水进入鼻腔,最危险的阿米巴脑膜炎得病几率很小。

undefined

而其实预防,就是对抗寄生虫类疾病万用万灵的秘方。

不生食水产品,就避免了棘颚口线虫、肝吸虫、血吸虫的入侵。而这几种虫子里,文静的类型比如肝吸虫只是蛰伏在胆道里,活个二三十年,诱发癌变和炎症。而寄生数量也让人叹为观止,曾有人体内发现了多达21000条成虫的报道,光想一下都是密恐患者的末日……

undefined

长这样,有点像果冻,嗯。

undefined

棘颚口线虫就更讨厌了。

人体并不是这种寄生虫的宜居地点,感到无所适从的幼虫会在人体内各种地方钻来钻去,所到之处一片狼藉。

undefined

它时而在皮肤之下蛇行,在表皮上留下各种触目惊心的瘢痕和红肿。时而钻入脏器,引起剧痛发炎和呕吐。时而入侵头部,钻入眼睛或大脑,患处之凄惨不亚于阿米巴原虫感染。(此处应有图,我们放个口味最轻的)

undefined

虽然患者最后能被治愈,但是寄生虫给他们带来的痛苦和损伤,都是无法弥补的。而远离寄生虫疾病,最好的方法永远是预防。

undefined

进化上万年,学会用火,学会开发自来水系统,学会氯气消毒,不是让你去吃生食,喝生水的。

我们被近代医学的疫苗、抗生素和外科技术严密?;ぷ?,早就忘了自然是多么严酷,甚至一滴水可能置人于死地。

欢迎转载趣闻堂的文章,请注明出处:趣闻堂 (quwentang.com)

分享到
表个态吧 点个赞 ()